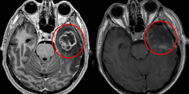
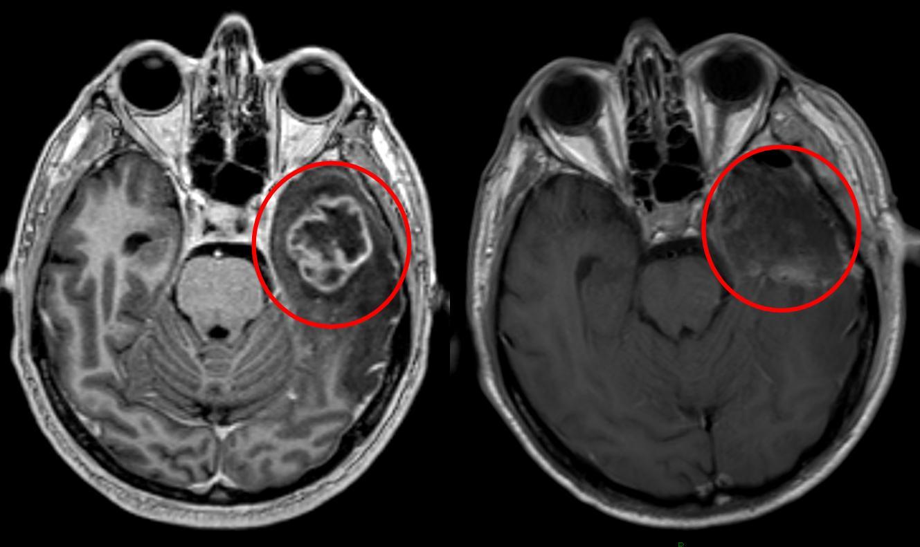
Per decenni i medici non sapevano cosa causasse questo tumore, perché non ha le mutazioni genetiche che si trovano negli altri cancri. Uno studio pubblicato ieri su Nature ha trovato una risposta inattesa: sono gli ormoni maschili. Il tumore si chiama ependimoma PFA, colpisce quasi sempre bambini sotto i cinque anni e uccide due su tre entro cinque anni dalla diagnosi. I maschi si ammalano più spesso delle femmine — e ora si sa perché. Gli androgeni, cioè il testosterone e ormoni simili, tengono le cellule tumorali in uno stato immaturo che le rende più aggressive e difficili da fermare. MedicalXpress Nei topi, bloccando questi ormoni il tumore cresce più lentamente. Farmaci che bloccano gli androgeni esistono già — si usano contro il cancro alla prostata negli adulti — ma somministrarli a neonati è un’altra cosa. Servono studi clinici appositi. Per ora i risultati sono solo in laboratorio, ma è la prima vera pista terapeutica che questo tumore abbia mai avuto.
Si invitano i lettori a visionare la fonte principale dell’articolo al seguente link: medicalxpress









